















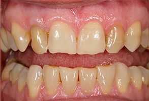
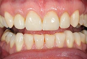
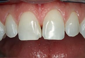
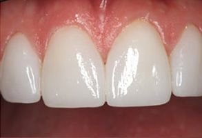
Our goal is to be your trusted partner on your journey to optimal oral health and a radiant smile. We strive to provide comprehensive and personalized dental care under one roof, utilizing cutting-edge technology and a team of experienced professionals.